Cosmetic Dentistry
Patient Gallery: Before And After
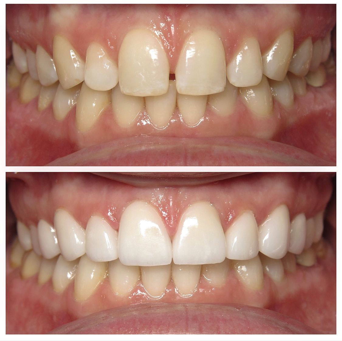
Patients of White Pine Dental just like you have experienced life-changing restorative dentistry treatments to fix both appearance and function of their smiles.
If you want to fix your teeth, then we want to help.
Schedule a consultation with us HERE or call us at 801-266-3000.





